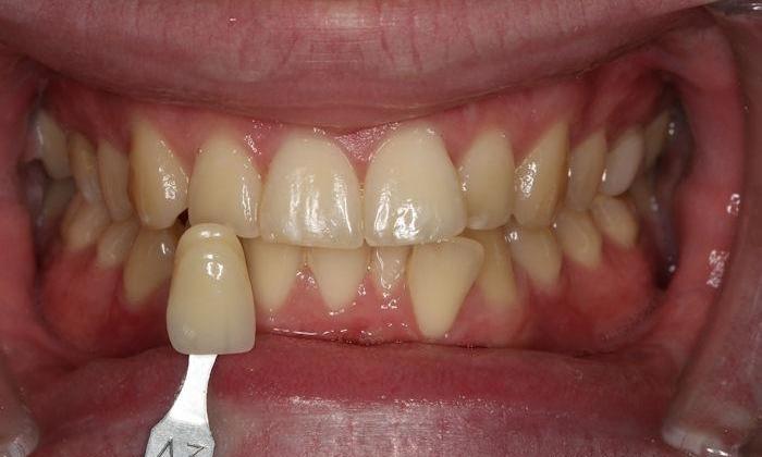
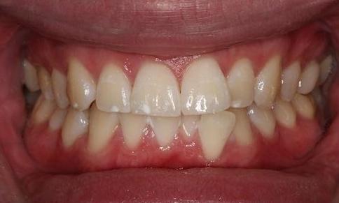
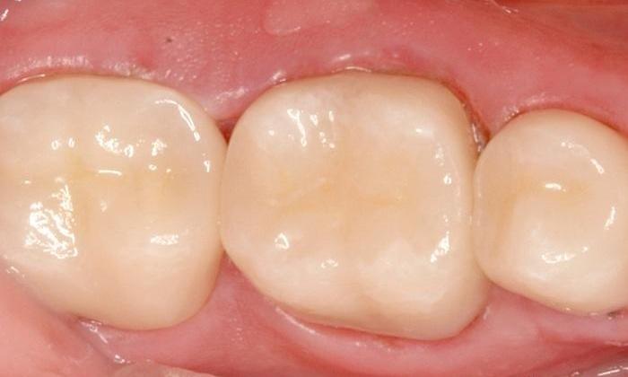
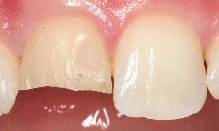
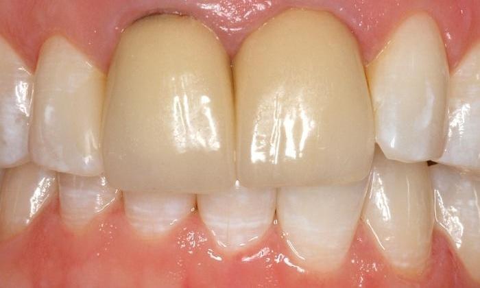
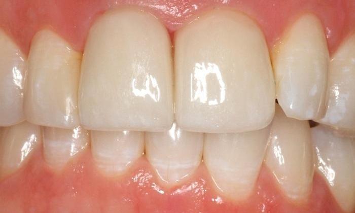
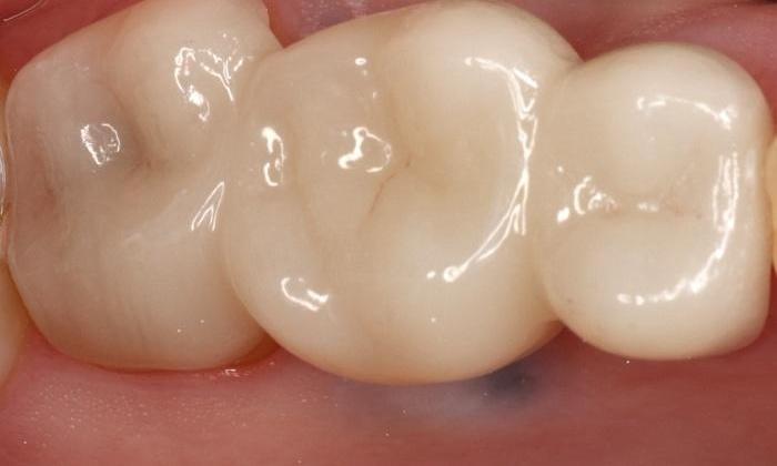
Are you thinking about making a change to your smile? Whether you want to make a few cosmetic tweaks or you need more involved work, we have the solution you need! We have helped many patients achieve their smile goals, and we are proud to share some of their before and after pictures here.
Please take a look, get inspired, and then give us a call to arrange a consultation appointment to discuss your unique needs.
If you don’t go here, you need to switch. This is hands down the best place I’ve ever been to. The front desk lady’s are so friendly and awesome. Every hygienist I’ve had did an amazing job and didn’t hurt me at all!! The dentist himself is super friendly and so good at what he does. Fast and efficient. And another bonus they take kids too!! Kim is so awesome with my 2 yr old. Actually got him to let her clean his teeth. Like I said if you don’t go here, you need to. :) - Kim L.
 
 
 
 
 
 
 
 
 
 
 
 
 
 
 
 
 
 
 
 
 
 
 
 
 
 
 
 
 
 
 
 
 
