Northborough Family Dental
Northborough Family Dental
Request an Appointment
Like us on Facebook
Visit us on Yelp
Watch our Youtube Videos
Leave a Google Review
FourSquare
(508) 393-2522
293 W Main St
273 Southwest Cutoff
Northborough, MA 01532
Menu
Call
Book Now
Map
Home
About
Our Team
Technology
Office Pictures
Services
View All
Clear Orthodontic Aligners
BOTOX® for Rejuvenation and TMJ Disorders
General Dentistry
CEREC Same-Day Crowns & Bridges
Dental Implants
Cosmetic Dentistry
Digital X-Rays
Emergency Dentistry
Children's Dentistry
Root Canals
Tooth Extraction
Tooth-Colored Fillings
Smile Gallery
Testimonials
Patient Info
View Patient Info
Your First Visit
Forms
COVID-19 Updates
Financial
FAQs
Blog
Contact
Northborough Family Dental
>
Smile Gallery
>
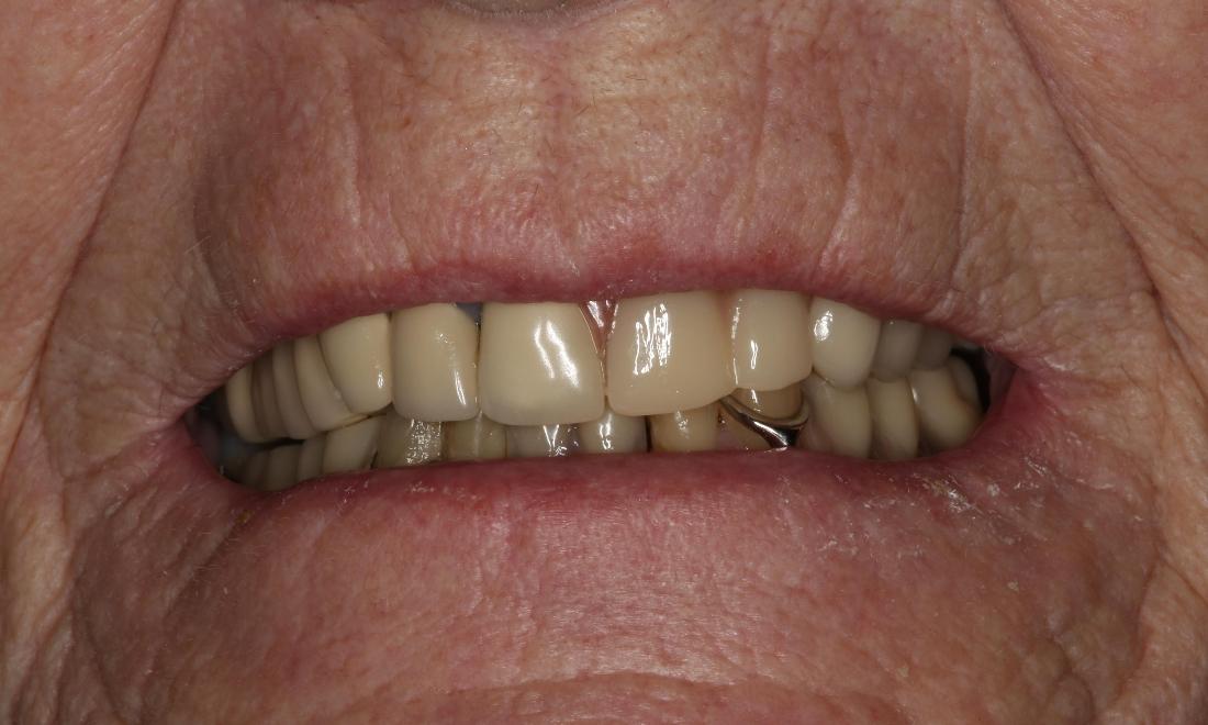
3D Printed Removable Partial Denture
3D Printed Removable Partial Denture
Return to Smile Gallery
Previous
Next
Related Services:
Cosmetic Dentistry
Before
After
Improve Your Smile Today – Call to Schedule a Consultation!
Claim Now!
If you have difficulty using our website, please
email us
or call us at
(508) 393-2522
View the
ADA Accessibility Statement
Turn on ADA Views
OK!
×
×
Contact Us Today
Give Us A Call
Northborough Family Dental -
(508) 393-2522
Send Us an Email
Request an Appointment
Contact Us
Ready to Schedule an Appointment?
Book Online
Have Questions? Contact Us:
Required Field
Your Name:
Phone:
Email:
Are you a new patient?:
Are you a?
New Patient
Current Patient
How would you like us to contact you?
Please choose
Email
Call
How did you hear about us?
Please choose
I'm an existing patient
Google/Bing
Mailer
Word of mouth
Social media
Other
Who Referred You?:
Appointment Preferences
Monday
Tuesday
Wednesday
Thursday
Friday
Your Message:
This site is protected by reCAPTCHA and the Google
Privacy Policy
and
Terms of Service
apply.
Sending...
×
This Patient's Experience
Loading Testimonial...
Loading Case...