Northborough Family Dental

Broken Porcelain Fused to Metal Crowns Replaced with All-Porcelain Crowns

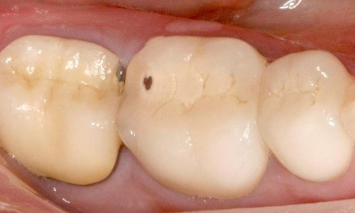
A close-up of the patient's smile before treatment shows a broken porcelain-fused-to-metal crown, revealing discoloration and metal edges that affect the tooth’s appearance. After replacing it with a new all-porcelain crown, the result is a seamless, natural-looking restoration that blends perfectly with the surrounding teeth—offering improved aesthetics, strength, and confidence in every smile.

Getting an Appointment Is Fast and Easy!
If you have difficulty using our website, please email us or call us at (508) 393-2522